Research Feature

How Tsinghua engineers helped boxers make Olympic history in Paris in 2024
Not only did these engineers help China’s female boxers win three gold and two silver medals, they also set a new bar for automated sports analysis tools.

Revealing the 3D structure of antidepressants could pave the way for better treatments
Scientists have uncovered new details about how drugs to treat depression interact with a neurotransmitter key to sleep, concentration and stress.

How a young researcher is changing the conversation about climate change
Shi Chen’s solar power modelling has earned international accolades. The postdoctoral researcher says that deploying solar in Asia and the Middle East first could speed up decarbonization.

A futuristic manned Moon chariot that draws on the past
A rover and two astronauts are set to traverse the surface of the Moon in a landmark mission set to take place before 2030.

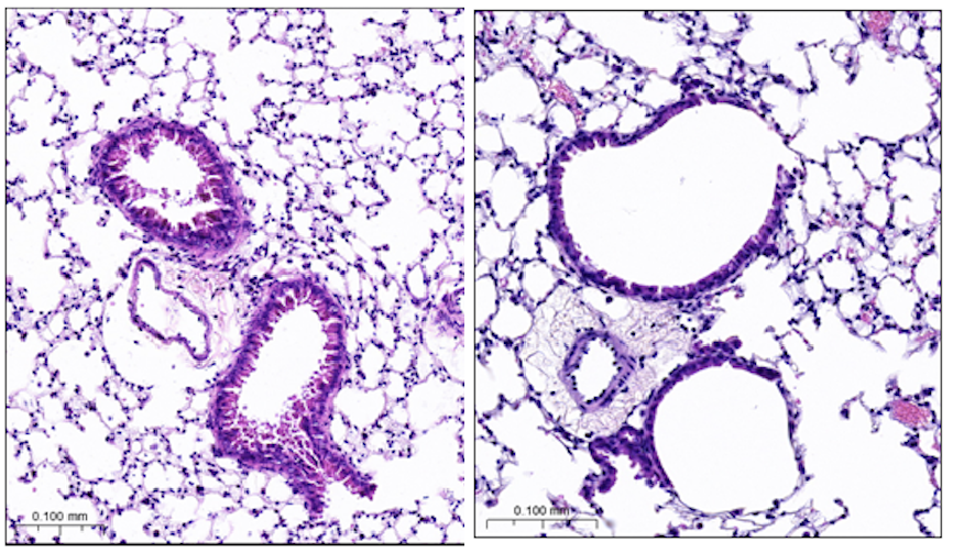
Mouse study hints at potential for asthma ‘cure’, says scientist
His father’s long battle with asthma drove a Tsinghua University researcher to search for a life-changing treatment for the common respiratory disease.